-
Tiêu điểm
Chống lãng phí
Kỷ nguyên vươn mình của Dân tộc
Cải chính và Xin lỗi
Đại hội Đảng XIV
Kinh tế
Tài chính - Ngân hàng
Bất động sản
Chứng khoán
Thương mại
Thị trường
Giá hàng hóa
Thương mại điện tử
Doanh nghiệp - Doanh nhân
Doanh nghiệp
Doanh nhân
Chuyện thương trường
Đời sống tiêu dùng
Tiêu dùng thông minh
Ô tô - Xe máy
Bảo vệ NTD
Du lịch
Sức khỏe
Giáo dục
Thông tin hay - Lựa chọn tốt
Nhà sang - Nội thất đẹp
Mua sắm - Dịch vụ
Sức khỏe - Làm đẹp
Thuốc - Thực phẩm BVSK
Hiệp hội & thành viên
Góc nhìn
Giới thiệu
Liên hệ
Mọi hình thức sao chép phải được sự chấp thuận bằng văn bản của Tạp chí Thương Trường
Giá cà phê hôm nay
Giá heo hơi hôm nay
Giá vàng hôm nay
Giá xăng hôm nay
Giá tiêu hôm nay
Giá ngoại tệ hôm nay
Giá gas
Giá cao su
Thương trường 24h
nhập viện
00:58 24/05/2025
Tình hình sức khỏe của hoa hậu Mai Phương Thúy sau khi nhập viện cấp cứu
Thông tin Hoa hậu Mai Phương Thuý nhập viện cấp cứu gấp vì chóng mặt, khó thở khiến nhiều người lo lắng.
12:57 26/12/2024
Ông Trịnh Văn Quyết nhập viện chữa bệnh, hoãn phiên tòa phúc thẩm
Ngày 26/12, Tòa án nhân dân Cấp cao tại Hà Nội bắt đầu phiên tòa xét xử phúc thẩm vụ án “Thao túng thị trường chứng khoán” và “Lừa đảo chiếm đoạt tài sản” xảy ra tại Công ty cổ phần Tập đoàn FLC. Tuy nhiên, ông Trịnh Văn Quyết và nhiều bị cáo, bị hại vắng mặt nên Hội đồng xét xử đã quyết định hoãn phiên tòa.
16:23 04/09/2024
Bộ Y tế chỉ đạo nóng vụ nhiều học sinh tại Thái Nguyên nhập viện chưa rõ nguyên nhân
Chiều ngày 4/9, Bộ Y tế (Cục Quản lý Khám, chữa bệnh) phát đi văn bản gửi Bệnh viện Bệnh Nhiệt đới Trung ương; Bệnh viện Nhi Trung ương đề nghị hỗ trợ, phối hợp tìm nguyên nhân một số trường hợp học sinh Trường Cao đẳng Công nghiệp Thái Nguyên nhập viện điều trị.
09:18 05/11/2022
Lưu ý những dấu hiệu bệnh sốt xuất huyết chuyển nặng cần nhập viện ngay
Trung tâm Kiểm soát bệnh tật TP. Hồ Chí Minh khuyến cáo 6 dấu hiệu cảnh báo nguy hiểm của bệnh sốt xuất huyết. Chuyên gia cũng lưu ý những dấu hiệu cảnh báo giai đoạn nguy hiểm của bệnh sốt xuất huyết ở trẻ cần đưa đến cơ sở y tế kịp thời.
13:15 26/08/2022
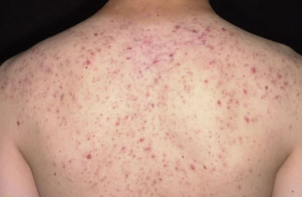
Nữ bệnh nhân 36 tuổi suýt tử vong khi trị mụn lưng tại cơ sở Spa
Trung tâm Chống độc, Bệnh viện Bạch Mai vừa tiếp nhận nữ bệnh nhân 36 tuổi nhập viện trong tình trạng sốc nặng (huyết áp không đo được), giảm oxy máu, nhiễm toan chuyển hoá nặng, lơ mơ…nguy cơ tử vong cao.
12:49 06/05/2022
Hà Nội: Quạt trần rơi trong giờ học khiến học sinh phải nhập viện
Sự việc diễn ra tại Trường THCS Vĩnh Quỳnh (Thanh Trì, Hà Nội). Học sinh này bị quạt trần rơi trúng người, phải nhập viện.
14:49 03/01/2022
4 cô gái ở TP. Thủ Đức bị đánh nhập viện do từ chối uống bia
Trong lúc ăn nhậu, nhóm thanh niên qua mời bia và xin số điện thoại các cô gái nhưng bị từ chối nên bực tức lao vào hành hung, gây thương tích cho các nạn nhân tại TP. Thủ Đức.
13:45 08/12/2021
3 chiến sĩ công an ở TP.HCM bị ném bom xăng phải nhập viện
Các đối tượng bị cưỡng chế thi hành án đã phản kháng, ném bom xăng, khiến 3 chiến sĩ công an bị thương tại quận Phú Nhuận, TP.HCM.
16:53 02/12/2021
Thêm 22 học sinh ở Thanh Hóa nhập viện sau tiêm vaccine
Trong số 22 học sinh tại huyện Hà Trung nhập viện sau tiêm vaccine Covid-19, 2 em xuất hiện triệu chứng co giật, được chuyển gấp đến Bệnh viện Đa khoa tỉnh Thanh Hóa.
18:04 26/11/2021
Đắk Lắk: Nữ phó giám đốc công ty nông sản bị cổ đông cũ hành hung
Ngày 26/11, Công an huyện Krông Búk (Đắk Lắk) xác nhận, đơn vị đang làm rõ việc Phó giám đốc Công ty TNHH -Thương mại và Sản xuất Nông sản Sapo Đắk Lắk (Cty Sapo Đắk Lắk) bị đánh nhập viện.
12:03 24/04/2021
Ngày 23/4, có tổng cộng 19 công nhân công ty may UNICO Yên Bái nhập viện nghi do ngộ độc thực phẩm
Bệnh viện Đa khoa Hữu Nghị 103 Yên Bái, tính đến 15 giờ ngày 23/4, có 19 công nhân Nhà máy may mặc Âu Lâu của Công ty may UNICO (Công ty may của Hàn Quốc ở xã Âu Lâu, thành phố Yên Bái) đã nhập viện cấp cứu trong tình trạng đau bụng, buồn nôn, nôn, chóng mặt…
21:48 07/03/2021
Xe khách lật nghiêng, 19 người bị thương ở Kon Tum
Vụ tai nạn xảy ra khoảng 16h ngày 7/3, xe khách giường nằm bị lật nghiêng làm 19 người bị thương tại huyện Ngọc Hồi, tỉnh Kon Tum.
13:17 02/03/2021
Lâm Đồng: Nổ mìn đánh cá 7 người nhập viện
Ngày 2/3, Ông Hoàng Mạnh Huỳnh- Chủ tịch UBND xã Đạ Tông, huyện Đam Rông, tỉnh Lâm Đồng cho biết, trên địa bàn đã xảy ra vụ chế mìn đánh cá, khiến 7 người bị thương.
09:01 18/02/2021
Mỹ có thể phải đối mặt với làn sóng dịch COVID-19 thứ 4
Dù số ca mắc và nhập viện do COVID-19 đang có xu hướng giảm ở hầu hết các bang, song một số chuyên gia y tế bày tỏ lo ngại Mỹ có thể sẽ phải đối mặt với làn sóng dịch thứ 4 nếu như nước này không ngăn chặn được các biến thể mới của virus SARS-CoV-2 vào mùa Xuân.
11:13 21/12/2020
Bắc Giang: 4 công nhân nhập viện do hít phải hóa chất bị tràn
Vụ tràn hóa chất công nghiệp tại Công ty TNHH Fine Elecom Vina thuộc KCN Song Khê - Nội Hoàng (tỉnh Bắc Giang) đã khiến 4 công nhân phải nhập viện cấp cứu do hít phải khí hóa chất.
09:58 25/11/2020
Ăn bánh tráng trộn ''vỉa hè'' 6 người phải nhập viện nghi bị ngộ độc
Đà Nẵng có 6 người phải nhập viện sau khi ăn bánh tráng trộn tại một xe bán hàng rong ở gần Trường THPT Nguyễn Hiền.
17:32 02/10/2020
Báo động số người nhập viện vì kiến ba khoang tăng đột biến
Khoảng 2 tuần gần đây, trung bình mỗi ngày, Bệnh viện Da liễu Trung ương tiếp nhận gần 100 bệnh nhân đến khám với các triệu chứng bỏng, rát vùng da sau tiếp xúc với kiến ba khoang.
15:52 13/09/2020
TP HCM: Hàng chục học sinh nhập viện nghi do ngộ độc thực phẩm
20 trẻ nghi bị ngộ độc thực phẩm là học sinh trường Tiểu học Bình Trưng Đông, quận 2, TP.HCM. Hôm 11/9, các em ăn bánh canh tôm và bánh su kem ở trường. Chiều 12/9, các em mới xuất hiện triệu chứng, được đưa đến bệnh viện cấp cứu.
11:06 12/09/2020
Hà Nội: Dừng hoạt động cơ sở cung cấp thức ăn tại trường Tiểu học Tiên Dương có học sinh nghi ngộ độc
Sở Y tế Hà Nội đã tiến hàng kiểm tra và yêu cầu dừng hoạt động đối với hộ kinh doanh cung cấp thức ăn cho học sinh trường Tiểu Học Tiên Dương, huyện Đông Anh trước sự cố về an toàn vệ sinh thực phẩm khiến nhiều học sinh phải nhập viện nghi ngộ độc.
16:38 08/09/2020
Hà Nội: Nhiều trường hợp nhập viện có biểu hiện ngộ độc Pate Minh Chay
Trung tâm Chống độc, Bệnh viện Bạch Mai cho biết gần đây liên tiếp tiếp nhận các trường hợp đến khám sức khỏe sau khi ăn Pate Minh Chay với biểu hiện mỏi, yếu cơ.
1
2
Đọc nhiều
1
Giá hàng hóa
Thời tiết ngày 5/4: Nắng nóng gay gắt mở rộng, nhiều nơi trên 38 độ C
2
Giá hàng hóa
Giá heo hơi hôm nay 5/4: Miền Bắc tăng mạnh, miền Nam giữ đỉnh 68.000 đồng/kg
3
Giá hàng hóa
Giá xăng dầu hôm nay 5/4: Trong nước tăng mạnh, thế giới trải qua tuần biến mạnh
4
Giá hàng hóa
Tỷ giá ngoại tệ hôm nay 5/4: Đồng USD giằng co trước áp lực địa chính trị và chính sách tiền tệ
5
Giá hàng hóa
Giá sầu riêng hôm nay 5/4: Neo cao nhưng áp lực giảm dần khi nguồn cung tăng
6
Giá hàng hóa
Giá kim loại hôm nay 5/4: Vàng tăng nhẹ, bạc giằng co, thép tiếp đà giảm
7
Giá hàng hóa
Giá nông sản hôm nay 5/4: Hồ tiêu quay đầu giảm, cà phê phân hóa, gạo xuất khẩu tăng mạnh
8
Thị trường
Thị trường bán lẻ TP.HCM khởi sắc, hướng tới tăng trưởng bền vững