11:27 21/04/2021

Nam thanh niên 21 tuổi suy tim vì uống nước tăng lực liên tục

Nhóm chuyên gia tại khoa Tim mạch, Bệnh viện St Thomas, London, Anh vừa thông tin trường hợp nam bệnh nhân 21 tuổi bị suy tim và cần theo dõi liên tục sức khỏe tim mạch, sau khi người này liên tục uống nước tăng lực.

Nam thanh niên 21 tuổi suy tim vì uống nước tăng lực liên tục
Nam thanh niên 21 tuổi suy tim vì uống nước tăng lực liên tục. Ảnh minh họa

Theo báo cáo, trong lần đầu tiên nhập viện, nam bệnh nhân có tình trạng khó thở, bụng sưng to. Qua thăm khám, các bác sĩ chẩn đoán bệnh nhân này bị suy thận, không thể tự làm rỗng hoàn toàn bàng quang.

Chứng suy thận ở nam thanh niên là do tình trạng u xơ tắc nghẽn mãn tính đã lâu nhưng không được chẩn đoán và điều trị sớm. Tình trạng nước tiểu bị ứ đọng và không thể thoát qua các ống tiết niệu một cách chính xác dẫn đến nước tiểu bị trào ngược vào thận.

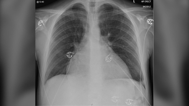
Ghi chép từ nghiên cứu cho thấy ê-kíp chuyên gia phát hiện bệnh nhân bị suy tim, gây cản trở cho khả năng bơm, nhận máu. Trong đầu gối, ổ bụng của người này cũng bị tích đầy chất lỏng. Kết quả chụp X-quang cho thấy tim, phổi, gan của bệnh nhân giãn to. Bệnh nhân buộc phải nhập viện ngay và nằm trong phòng chăm sóc đặc biệt liên tục 58 ngày.

Từ trước thời điểm nhập viện nhiều tháng, anh naỳ cũng cho biết đã cảm thấy thở gấp, khó thở, sụt cân. Gia đình anh không ai có tiền sử bị tim hay đột tử vì bệnh tim. Trước đó, nam thanh niên từng hút thuốc nhưng đã cai được 3 năm.

Nam thanh niên 21 tuổi suy tim vì uống nước tăng lực liên tục
Hình chụp X-quang ngực khi nhập viện của bệnh nhân cho thấy tim có kích thước lớn bất thường. (Ảnh: BMJ Case Reports)

Đáng chú ý, trong vòng 2 năm trở lại đây, người này thường xuyên uống nước tăng lực, loại 500 ml/lon, mỗi lon chứa 160 mg caffeinm tức là cao gần gấp đôi so với một tách cà phê thông thường (chứa khoảng 90 mg caffein). Đỉnh điểm, có ngày, anh uống tới 4 lon. Nếu không uống nước tăng lực, anh bị đau nửa đầu nghiêm trọng. Trước đó, bệnh nhân cảm thấy khó tiêu, run, tim đập nhanh, nhưng không tới bệnh viện khám.

Bệnh nhân đã được xuất viện sau 4 tháng phải nằm trong phòng chăm sóc đặc biệt (ICU), nhưng vẫn cần liên tục theo dõi tim mạch, thận, tiết niệu. Bác sĩ lo ngại rằng trong thời gian tới, bệnh nhân sẽ phải tái tạo bàng quang và buộc ghép thận, bên cạnh việc có nguy cơ tử vong rất cao do suy tim hoặc đột quỵ.

Theo BBC, bệnh nhân nam cho biết đây là "trải nghiệm cực kỳ tồi tệ", dù tỉnh dậy cũng không thể nhớ nổi những gì đã xảy ra và không biết vì sao mình phải nhập viện. Các bác sĩ đặt giả thuyết nguyên nhân của hiện tượng mơ hồ này là giảm cung lượng tim trong nhiều tháng. Hiện tại, anh phải tránh toàn bộ nước tăng lực nếu không muốn tình trạng này tiếp diễn.

Theo các bác sĩ, chất kích thích như caffein có thể khiến tim đập nhanh, sau thời gian dài, cơ quan này dần yếu đi, bị kích thích quá mức. Khả năng điều chỉnh các thụ thể của nó với các chất kích thích như hormone bình thường cũng khó thực hiện được.

Các bác sĩ nhận định thói quen uống nước tăng lực chính là nguyên nhân gây ra những hậu quả trên. Theo CTV News, đây không phải trường hợp duy nhất phải nhập viện sau khi uống quá nhiều nước tăng lực. Trước đó, 2 trường hợp khác cũng đã báo cáo về tình trạng suy tim, tổn thương sau thời gian dài uống loại đồ uống này. Đáng nói, các bệnh nhân đều khoảng 20 tuổi.

Hà Anh (T/H)